VON KATHRIN BRAUN
Taipeh – Bei Radio Taiwan International sind fast alle Lichter aus, als Bihui Chiu, 65, Feierabend macht. Es ist Abend, doch in Taiwans Hauptstadt Taipeh ist es nie dunkel. Neben dem Radiosender leuchtet das 87 Meter hohe „Grand... zum Artikel
VON DOMINIK GÖTTLER UND OLIVER PIETSCHMANN
München – Stellen Sie sich vor, Sie könnten Ihren besten Freund jederzeit und überall dabeihaben, um über alles Mögliche zu plaudern – von dem neuesten Klatsch und Tratsch bis hin zu tiefgründigen... zum Artikel
ChatGPT ist ein Programm, mit dem sich über das Internet Fragen beantworten und Aufgaben lösen lassen. Es stützt sich auf eine Technologie, die Künstliche Intelligenz (KI) verwendet, um zu lernen. Experten schätzen, dass derartige Programme die... zum Artikel
INTERVIEW Digitalministerin Judith Gerlach über die Chancen Künstlicher Intelligenz – und falsche Horrorszenarien München – Judith Gerlach (CSU) ist Bayerns erste Digitalministerin. Im Interview erklärt sie, warum sie sich von ChatGPT keine Rede... zum Artikel
VON ANDREAS BEEZ
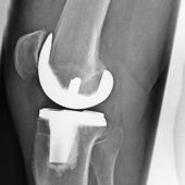
München – Im Vergleich zu vielen anderen Eingriffen ist die Erfolgsquote beim Gelenkersatz eindrucksvoll: Weit über 80 Prozent der Patienten sind mit ihrer Endoprothese zufrieden. So nennt man die Ersatzteile aus Metall, Kunststoff... zum Artikel
Einen guten Operateur zu erkennen, ist nicht ganz einfach – mit gezielten Fragen lässt sich das Risiko zumindest eingrenzen München – Manchmal lässt sich eine Gelenkersatz-Operation nicht vermeiden. Aber wenn schon, dann sollte es ein Operateur sein,... zum Artikel
Jede zehnte Operation bei einer Kniearthrose könnte laut einer DAK-Studie vermieden und ein künstliches Gelenk um mehrere Jahre hinausgezögert werden. Es gebe einen „Mangel an konservativen, nicht-medikamentösen Therapieoptionen“, stellt der jüngste... zum Artikel
Sogar die politische Linke hofft 1933 auf ein Aufbäumen der Königstreuen um Kronprinz Rupprecht – doch alle Pläne platzen München – Am Abend des 30. Januar 1933 ist Hitler am Ziel. Der greise Reichspräsident Hindenburg hat ihn zum Reichskanzler... zum Artikel
INTERVIEW Historiker Thomas Weber über die Lehren aus Hitlers Machtübernahme 1933 für die Gegenwart München – Heute vor 90 Jahren übernahmen die Nationalsozialisten die Macht, Adolf Hitler wurde Reichskanzler. Thomas Weber, 48, ist Professor für... zum Artikel
Über die Frage, welche Rolle die Hohenzollern, die Familie des letzten deutschen Kaisers, beim Untergang der Weimarer Republik spielte, ist unter Historikern in den vergangenen Jahren eine leidenschaftliche Debatte entstanden. Auslöser war die 2019... zum Artikel