IN KÜRZE

Tuberkulose bleibt oft unerkannt

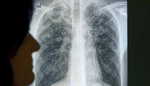
Tuberkulosepatient: Das Röntgenbild gibt Aufschluss und zeigt typischerweise entzündliche Veränderungen. © dpa

Kopenhagen – Jede fünfte Tuberkulose-Erkrankung in Europa bleibt nach Schätzung der Weltgesundheitsorganisation unerkannt oder wird nicht gemeldet. 2024 wurden knapp 162.000 Fälle gemeldet.

Samstag, 4. April 2026

30 Tage einmalig 0,99 €

  • danach 36,90 € mtl.
  • und jederzeit kündbar
Zum Angebot

3 Monate einmalig 36,90 €

  • Mindestlaufzeit 3 Monate,
  • danach monatlich kündbar
Zum Angebot
66% Rabatt sichern!

Sie interessieren sich für die gedruckte Zeitung?

Passende Angebote dazu finden Sie hier.

Abonnenten-Login Anmeldung für Abonnenten

ePaper-Zugang freischalten
Per E-Mail teilen
Entdecken Sie das OVB ePaper in Top-Qualität und testen Sie jetzt 30 Tage kostenlos und unverbindlich.